Quiz
Question n° 90
08.07.2024

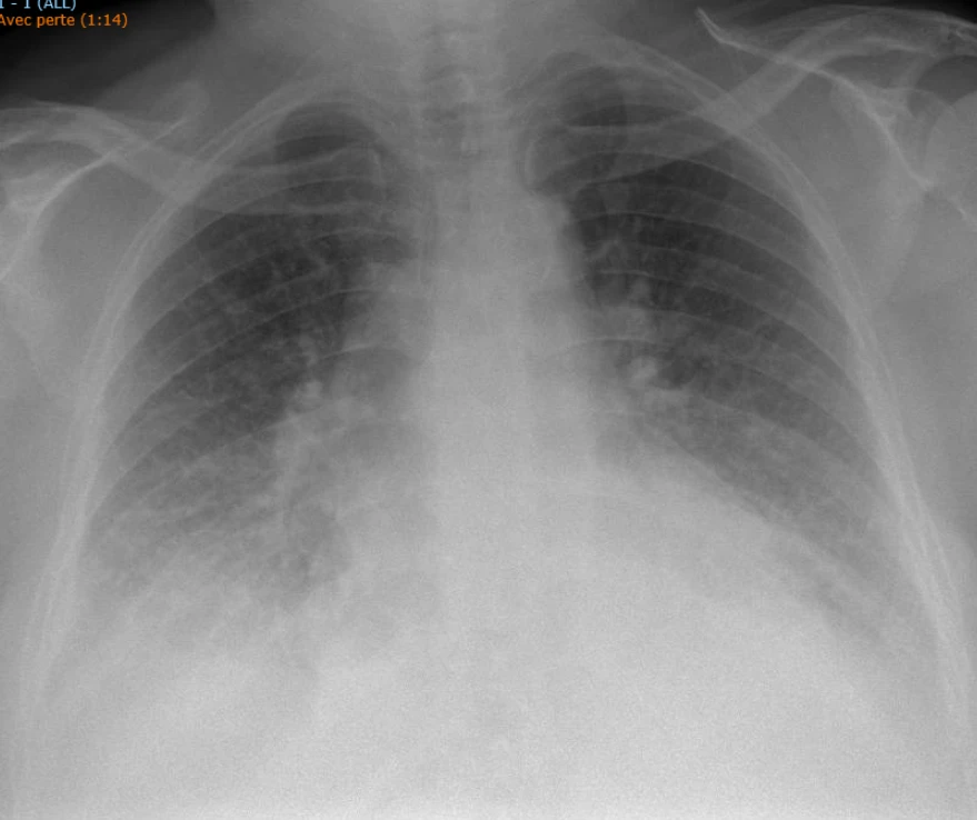
Une patiente de 70 ans connue pour une obésité et traitée pour un diabète sans insuline, consulte les urgences pour une dyspnée d’effort d’apparition progressive depuis quelques semaines, avec nette péjoration depuis 3 jours (actuellement NYHAIV). Elle décrit également une orthopnée nouvelle sans dyspnée paroxystique nocturne. Pas de douleurs thoraciques, pas de toux, pas de fièvre, pas de facteurs de risque thrombo-emboliques rapportés. Paramètres vitaux à l’arrivée : FC 70/​min, TA 135/​75mmHg, FR 13/​min, Saturation 94% sous 2L d’oxygène, T° 36.6. L’examen clinique met en évidence une patiente obèse, avec diminution du murmure respiratoire aux bases des deux côtés, pas de bruits surajoutés, et des œdèmes des membres inférieurs légers. Les mollets sont souples et indolore sans signes cliniques de TVP.Le laboratoire est sans particularité (Na, K, créat, CRP, FSS), tout comme l’ECG. Le NT-proBNP est normal (< 200 ng/​l).

Voici la radiographie du thorax :

Que fais-tu ?