Quiz
Question n° 133
30.06.2025

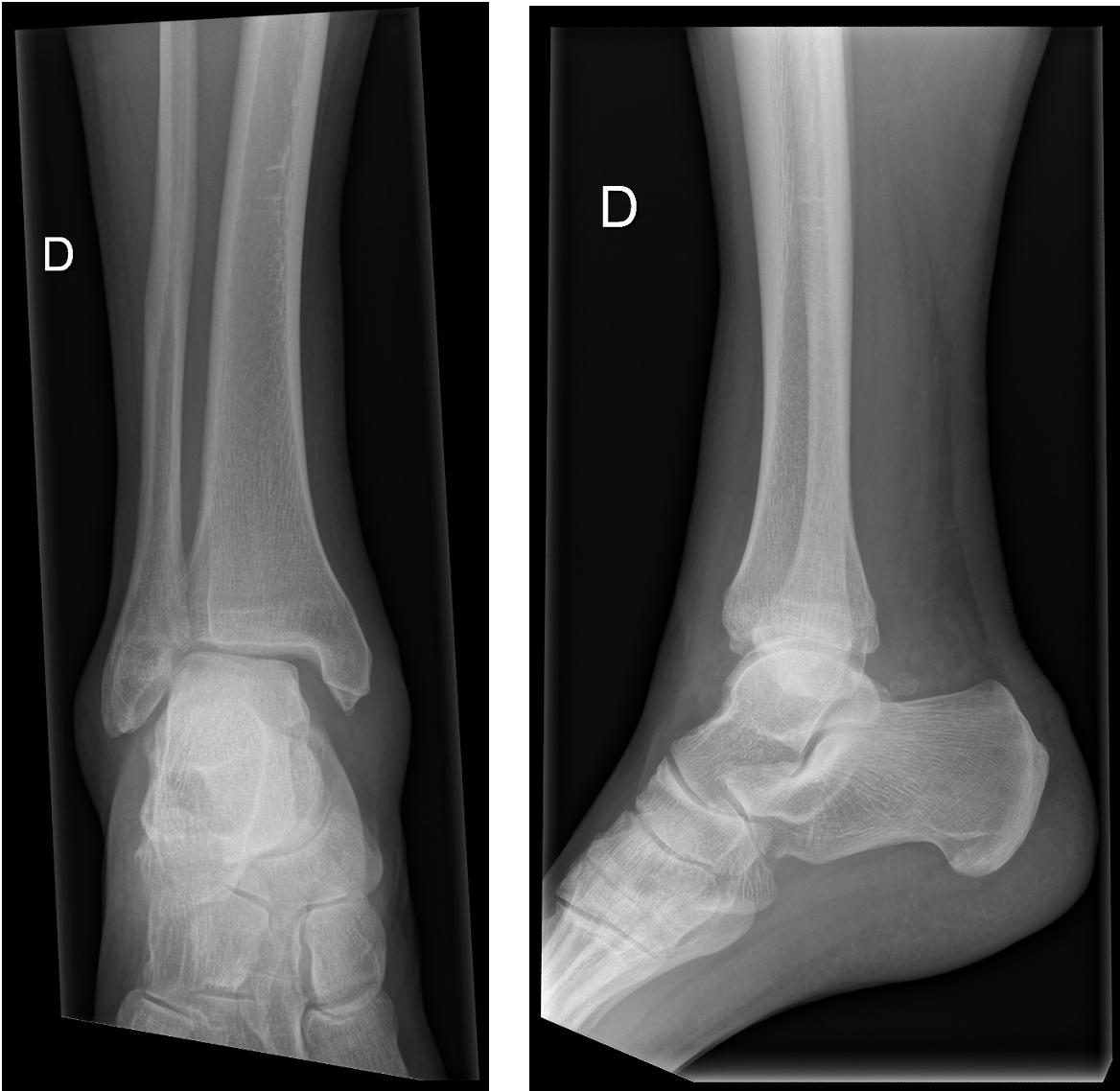
Un patient de 60 ans, en bonne santé habituelle, se présente aux urgences suite à une chute sur une plaque de glace. Il se plaint d'une douleur au niveau de la cheville droite, et explique avoir fait un ''faux mouvement'' avec son pied et sa cheville, mais ne peut pas décrire le mécanisme exact. A l’examen clinique, tu observes une tuméfaction bimalléolaire avec des douleurs importantes lors de la palpation et la pronation/éversion de la cheville. Il n’y a pas de troubles neurovasculaires.

Tu effectues des radiographies face et profil de la cheville droite : 

Après avoir vu ces radiographies, comment envisages-tu la suite de la prise en charge ?