Image
Les fractures costales
18.04.2024

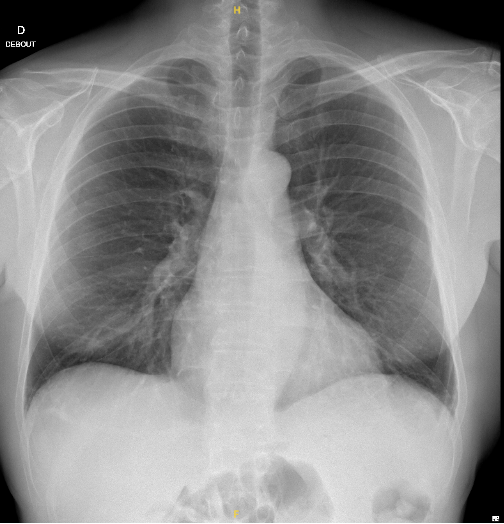
Nous retenons comme diagnostic une fracture de côte sur chute de sa hauteur sans pneumothorax associé.

Sur la paroi thoracique nous observons 12 paires de côtes. Les 7 premières sont attachées postérieurement à la colonne et antérieurement au sternum, les côtes 8 à 10, quant à elles, sont attachées antérieurement par du cartilage et les deux dernières sont flottantes. Les côtes 1-3 sont protégées par la scapula, la clavicule et les tissus mous. Les flottantes sont mobiles. Les côtes 4 à 10 sont donc les plus vulnérables et les plus susceptibles aux traumatismes fermés.

Mécanismes :
· Trauma thoracique : fermé ou pénétrant.
· Pour les personnes âgées et/ou ostéoporotiques : sur simple chute et sur efforts de toux
· Pour les enfants : sur traumatisme/chute plus important
· Fractures pathologiques, métastases
· Fractures de stress : plusieurs microtraumatismes (athlètes)

Diagnostic :
Clinique et radiologique.  Une fracture de plus de 2 côtes, de l’une des 3 premières côtes ou des côtes flottantes, doit être complétée par un CT thoracique à la  recherche d’une lésion d’organe sous-jacent.

Prise en charge :  
Pour une fracture costale simple, la prise en charge recommandée est conservatrice : analgésie efficace afin d’éviter une pneumonie, physiothérapie respiratoire et application de glace. En cas de douleurs difficilement contrôlables, il s’agit d’envisager une hospitalisation et une consultation anesthésique pour effectuer un bloc intercostal. Si la ventilation est compromise, l’indication à une intubation peut être discutée. La chirurgie est proposée d’emblée en cas de volet costal ou traumatisme sévère.

Complications :
Pneumonie, hémothorax, pneumothorax, détresse respiratoire, mauvaise consolidation avec cal vicieux
Critères de sévérité :
· Plus de 5 côtes cassées
· Plusieurs côtes déplacées
· Volet costal (3 ou plus côtes cassées en 2 endroits)

Ces patient·es sont à risque de développer une détresse respiratoire et des complications sévères. Elles et ils seront surveillé·es dans une unité de soins aigus et une prise en charge chirurgicale sera envisagée.

L’entre-deux : 3-5 côtes cassées ; la décision d’hospitaliser ou non dépend de la clinique et des comorbidités de la ou du patient·e. Un·e patient·e jeune et en bonne santé avec une bonne mécanique ventilatoire et une antalgie bien contrôlée peut rentrer à domicile malgré 4 côtes cassées avec une prescription pour une antalgie efficace ainsi qu’un spiromètre afin de prévenir les atélectasies et la pneumonie. Les complications telles que l’hémothorax et le pneumothorax peuvent survenir dans les 24 heures après le traumatisme. Il est donc important d’expliquer à la ou au patient·e de consulter à nouveau en cas de récidive des douleurs, de difficultés respiratoires, toux ou tout autre symptôme inquiétant. Il est indiqué qu’il ou elle bénéficie d’un suivi clinique à 6 semaines.

Inversement, la ou le patient polimorbide devrait plus facilement être hospitalisé pour une surveillance.

Nous retenons comme diagnostic une fracture de côte sur chute de sa hauteur sans pneumothorax associé.

Sur la paroi thoracique nous observons 12 paires de côtes. Les 7 premières sont attachées postérieurement à la colonne et antérieurement au sternum, les côtes 8 à 10, quant à elles, sont attachées antérieurement par du cartilage et les deux dernières sont flottantes. Les côtes 1-3 sont protégées par la scapula, la clavicule et les tissus mous. Les flottantes sont mobiles. Les côtes 4 à 10 sont donc les plus vulnérables et les plus susceptibles aux traumatismes fermés.

Mécanismes :
· Trauma thoracique : fermé ou pénétrant.
· Pour les personnes âgées et/ou ostéoporotiques : sur simple chute et sur efforts de toux
· Pour les enfants : sur traumatisme/chute plus important
· Fractures pathologiques, métastases
· Fractures de stress : plusieurs microtraumatismes (athlètes)

Diagnostic :
Clinique et radiologique.  Une fracture de plus de 2 côtes, de l’une des 3 premières côtes ou des côtes flottantes, doit être complétée par un CT thoracique à la  recherche d’une lésion d’organe sous-jacent.

Prise en charge :  
Pour une fracture costale simple, la prise en charge recommandée est conservatrice : analgésie efficace afin d’éviter une pneumonie, physiothérapie respiratoire et application de glace. En cas de douleurs difficilement contrôlables, il s’agit d’envisager une hospitalisation et une consultation anesthésique pour effectuer un bloc intercostal. Si la ventilation est compromise, l’indication à une intubation peut être discutée. La chirurgie est proposée d’emblée en cas de volet costal ou traumatisme sévère.

Complications :
Pneumonie, hémothorax, pneumothorax, détresse respiratoire, mauvaise consolidation avec cal vicieux
Critères de sévérité :
· Plus de 5 côtes cassées
· Plusieurs côtes déplacées
· Volet costal (3 ou plus côtes cassées en 2 endroits)

Ces patient·es sont à risque de développer une détresse respiratoire et des complications sévères. Elles et ils seront surveillé·es dans une unité de soins aigus et une prise en charge chirurgicale sera envisagée.

L’entre-deux : 3-5 côtes cassées ; la décision d’hospitaliser ou non dépend de la clinique et des comorbidités de la ou du patient·e. Un·e patient·e jeune et en bonne santé avec une bonne mécanique ventilatoire et une antalgie bien contrôlée peut rentrer à domicile malgré 4 côtes cassées avec une prescription pour une antalgie efficace ainsi qu’un spiromètre afin de prévenir les atélectasies et la pneumonie. Les complications telles que l’hémothorax et le pneumothorax peuvent survenir dans les 24 heures après le traumatisme. Il est donc important d’expliquer à la ou au patient·e de consulter à nouveau en cas de récidive des douleurs, de difficultés respiratoires, toux ou tout autre symptôme inquiétant. Il est indiqué qu’il ou elle bénéficie d’un suivi clinique à 6 semaines.

Inversement, la ou le patient polimorbide devrait plus facilement être hospitalisé pour une surveillance.