Image
Lésion pulmonaire excavée
14.03.2024

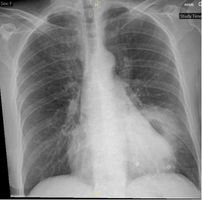
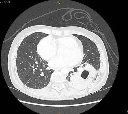
Il s’agit d’une patiente de 59 ans en bonne santé habituelle, sans comorbidité, qui se présente aux urgences suite à un malaise avec chute. Elle présente depuis quelques jours un syndrome grippal avec asthénie, état fébrile et toux. Depuis 2 jours, elle décrit également l’apparition d’une douleur abdominale avec quelques épisodes de diarrhées. Lors de ton examen clinique, la patiente est stable sur le plan hémodynamique mais présente une désaturation à 90% AA et une tachypnée à 25/minutes. Le laboratoire met en évidence un syndrome inflammatoire avec une CRP > 300 mg/dl, sans leucocytose, une hyponatrémie légère ainsi qu’une hypoxémie à la gazométrie. Sur le plan microbiologique, la PCR sur frottis nasopharyngé à la recherche d’une grippe Influenza A est positif, alors que les hémocultures et la culture d’expectorations restent stériles. Il n’y pas d’antigène à Legionella et pneumocoques dans les urines. La radiographie et le scanner thoracique ci-dessous mettent en évidence une lésion pulmonaire excavée.

Une lésion pulmonaire excavée est définie comme une opacité parenchymateuse pulmonaire avec en son sein une hyperclarté avec ou sans niveau hydroaérique et entourée d’une coque.

La démarche étiologique comprend l’anamnèse avec : les conditions socio-économiques, l’emploi, les expositions professionnelles, la consommation de tabac et d’alcool, le contexte d’immunosuppression, le contage ainsi que le retour d’une zone à risque de tuberculose. Un tableau subaigu avec asthénie, toux hémoptysie, sans fièvre évoquera une origine néoplasique alors qu’un tableau septique aigu avec syndrome inflammatoire évoquera plutôt l’abcès parenchymateux. Le diagnostic le plus redouté est le cancer bronchique : en général il se présente sous la forme d’une hyperdensité spiculée, mais il peut également se présenter sous la forme d’un lésion ronde excavée (carcinome, métastases, lymphomes).

Les causes infectieuses comprennent : la tuberculose, les mycobactéries atypiques, l’abcès à bactéries pyogènes ou anaérobes, la pneumopathies nécrosantes (à Staphylocoque), l’aspergillose, la nocardiose, l’actinomycose ou la légionellose. Comme cause infectieuse plus exotiques nous retenons l’hydatidoses, l’amibiase, l’histoplasmose et la coccidioidomycose. 

Le diagnostic étiologique non infectiologique sont les origines immunologiques (la sarcoïdose, le lupus systémique et la granulomatose avec polyangéite) ainsi que l’amyloïdose, l’endométriose, le pneumatocèle post-traumatique et le granulome broncho-centrique.

Le diagnostic différentiel radiologique est également large avec, entre autres ; hernie hiatale, maladies multikystiques pulmonaires, lymphangioléiomyomatose, histiocytose de Langerhans, pneumopathie interstitielle lymphoïde.

Lors de la mise en évidence d’une telle lésion à la radiographique, il est préconisé d’effectuer un CT thoracique afin d’orienter le diagnostic. Si l’origine est plutôt infectieuse, une antibiothérapie  d’épreuve peut être mise en place avec un CT de contrôle à distance. En cas d’absence de régression de la lésion excavée, il s’agira d’effectuer une endoscopie bronchique ou ponction trans-thoracique, avec ponction ganglionnaire pour établir un diagnostic histologique.

En ce qui concerne notre patiente, l’évolution clinique et scannographique a été favorable sous traitement de co-amoxiciline.