Image
Masse dans le lobe supérieur droit
23.02.2023

Le lobe azygos est une anomalie congénitale, ou variante anatomique. Bien que rare (il se retrouve chez environ 1% de la population avec un ratio homme : femme de 2 : 1 et sur 0.4 % des radiographies thoraciques), cette variante doit être connue de la ou du clinicien·ne car elle peut être confondue avec un néoplasie pulmonaire, un abcès ou une bulle d’emphysème voir un pneumothorax.

Ce « lobe accessoire » est formé durant l’embryogenèse, par la migration anormale d’une veine précurseur de la veine azygos, dans le segment apical du lobe pulmonaire supérieur droit (beaucoup plus rarement à gauche), au lieu d’une migration dans le médiastin. Cette indentation du lobe supérieur forme le lobe azygos qui lui est adjacent. Le lobe azygos n’est pas à proprement parlé un lobe, mais bien une partie du lobe supérieure. Il n’est pas vascularisé ou ventilé par un système indépendant ou spécifique.

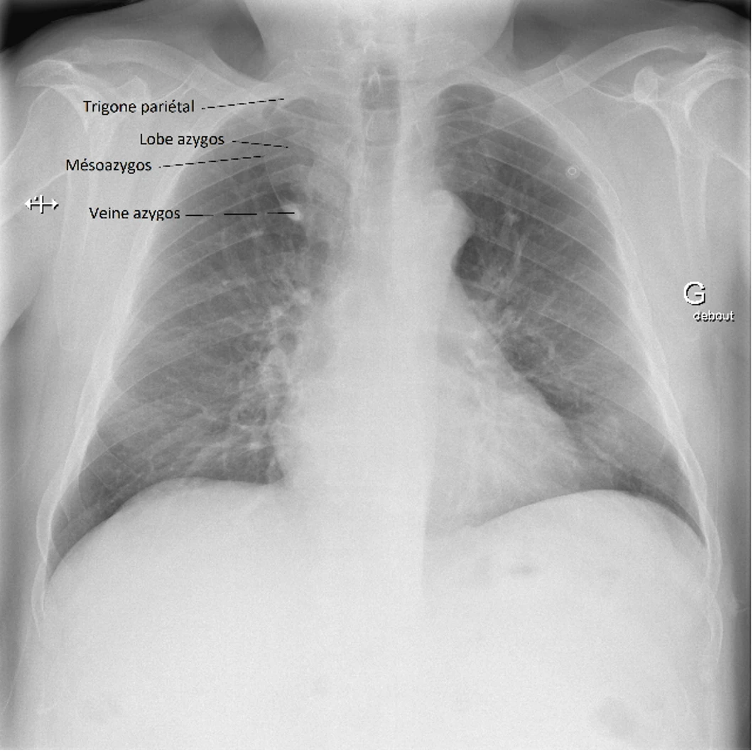
Les signes radiologiques classiques sont :

1. Au niveau paratrachéal droit : 
• Une image de larme par la présence de la veine azygos déplacée latéralement et se retrouvant piégée dans le parenchyme pulmonaire et les plis de la plèvre
• Une image de virgule inversée par la veine qui indente le lobe supérieur droit et crée une scissure accessoire (pli de la plèvre pariétale et viscérale, mésoazygos)

2. À la portion supérieure de la fissure : une opacité triangulaire, le trigone pariétal, qui est du tissu extrapulmonaire pris en sandwich lors de la migration de la veine azygos.

3. Au bord inférieur de la bande paratrachéale droite : le renflement habituellement présent en raison du passage de la veine azygos à l’angle trachéobronchique n’est pas visible.

Cette variante n’est pas associée à une morbidité ou des pathologies particulières mais doit être connue afin de ne pas entreprendre d’examens inutiles. Elle peut entrainer pour la ou le chirurgien·ne des difficultés techniques dans les procédures thoracoscopiques.