Image
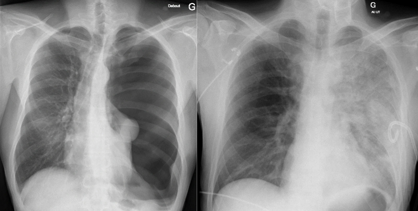
Œdème de ré­expansion
10.11.2022

1. À gauche : pneumothorax
2. À droite : œdème de réexpansion

L’image de gauche est une radiographie pulmonaire réalisée debout en antéro-postérieure, d’un patient jeune se présentant pour une dyspnée et une douleur thoracique. Elle révèle un pneumothorax massif avec une légère déviation du médiastin vers la droite. Un pigtail est mis en place dans le 5ème espace intercostal gauche. Le patient est hospitalisé. Dans les 12 heures qui suivent, le patient développe une dyspnée et tachypnée avec une désaturation à 84% à l’air ambiant. La radiographie de gauche montre un œdème de réexpansion de toute la plage pulmonaire gauche.

Le mécanisme de l’œdème de réexpension reste débattu. Il semblerait que l’origine soit multifactorielle ; impliquant des dommages capillaires augmentant la perméabilité :
• Des lésions mécaniques d’une part, liées à l’augmentation trop rapide de la pression intra-pleurale lorsque de grandes quantité d’air ou de fluide sont retirées, diminuant la pression dans l’interstice et augmentant ainsi le gradient de fluide au travers de la barrière alvéolo-capillaire.
• Des lésion inflammatoires d’autre part, liées à la réversion de la vasoconstriction hypoxique, provoquant un stress oxydatif qui modifie la perméabilité.

Les éléments favorisant sont : la taille du pneumothorax, le temps durant lequel le poumon est resté collabé, la quantité d’air (ou de fluide) retiré, l’importance de l’aspiration.

Les facteurs de risque pouvant précipiter un œdème de réexpansion malgré des quantités retirées plus faibles sont l’hypertension artérielle pulmonaire et les maladies cardio-vasculaires.